True simplification is often easier said than done, particularly for complex procedures such as cementation. Indirect restorative procedures are often time-consuming, complicated and require multiple steps. While crown cementation only accounts for a small fraction of that time, it’s one of the most critical stages.
Successful cementation depends on two critical factors: isolation and cement selection. Selecting the right cement depends on several factors, including restorative material, substrate, indication and more. These variables alone can make the choice difficult, but the sheer number of dental cements available can make it seem insurmountable.
There are currently many different groups of cements on the market. Some require additional conditioning and bonding agents, while others are only feasible for one indication or situation. For many dentists, this leads to a massive collection of cements with overlapping indications and looming expiration dates.
By narrowing your inventory to a select number of versatile cements, you can overcome these issues while helping your bottom line. What’s more, by working exclusively with a smaller set of choice products, you’ll strengthen your expertise in those materials – reducing risk of error and improving results.
"The reduction to four types of cement has been very advantageous to my practice," says Prof. Stefan Vandeweghe. "Stock management is easy, I gain more experience with selected products and I still have some flexibility when it comes to choosing the type of cement for my case. However, as materials evolve, there’s a new opportunity to simplify further – with the introduction of universal cements."
"Simplified cementation is easy with a universal solution," continues Pro. Vandeweghe. "Such as 3M™ RelyX™ Universal Resin Cement – which works for both self-adhesive and adhesive procedures using 3M™ Scotchbond™ Universal Plus Adhesive, for example. Combining these properties into one product eliminates the need to choose between multiple cements and reduces complexity – both in procedure and inventory. Plus, the new initiator system makes excess clean-up easy and helps reduce waste.
"I found RelyX Universal Resin Cement to be straightforward and easy to handle while providing a strong bond to dentine regardless of curing mode – and you get a material class that lends itself to a modern, simplified dental practice."

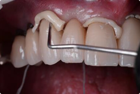
Easy excess removal of RelyX Universal Resin Cement after tack curing (2-3 seconds)

Resulting in clean margins after polishing

Innovative, self-sealing automix syringe allows for hygienic storage without a used mixing tip

The RelyX Universal Micro Mixing Tip significantly reduces cement waste
Cementation can be challenging and confusing, but by taking the time to review your materials, you can refine your inventory, your procedure, and your skillset. Try 3M™ RelyX™ Universal Resin Cement today and see for yourself why the product was awarded “Best Universal Cement” at the 2021 Dental Advisor Product Awards.
Credit: Prof. Stefan Vandeweghe. RelyX and Scotchbond are trademarks of 3M Company © 2021 3M Brain Floss blog (dentalblog.3M.com)