Launched in 2024, Stela self-cure composite from SDI is part of a new generation of dental restoratives designed to streamline procedures.
The product has been shortlisted for Best New Product in the Dental Advisor (DA) Awards having previously won the DA Best Research award.
Stela’s rapid growth in popularity among dentists has been illustrated in a recent clinical case by Dr Kiran Shankla, a restorative dentist from Kendrick View Dental Practice.
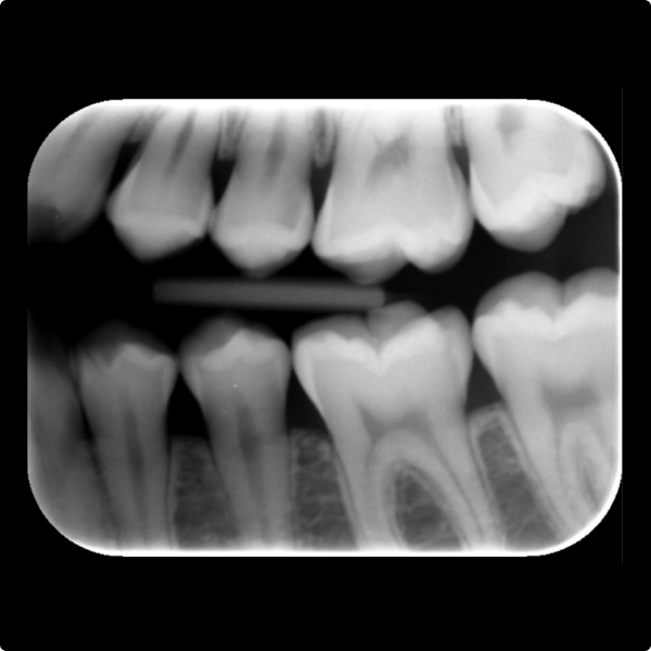
When a 17-year-old patient arrived for a routine six-month check at Dr Kiran Shankla’s practice, there were no complaints or concerns raised by the patient. During the examination a subtle colour change was observed on the upper left premolar. A bite-wing X-ray revealed a cavity, further confirmed with the aid of software.
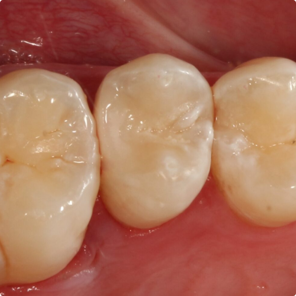
Given the cavity’s location in the visible smile zone and the young age of the patient, Dr Shankla chose a tooth-coloured filling rather than amalgam.
She selected the SDI composite material Stela for its combination of aesthetic appeal and functionality.
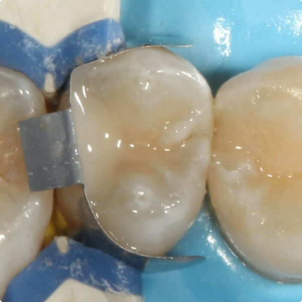
Although Stela can be used without a rubber-dam, Dr Shankla opted for one to maintain optimal isolation and control. After removing the decayed tissue, photographs were taken to document the cavity’s extent. A sectional matrix was placed to ensure proper contact, given the size of the lesion, then the Stela system was applied.
Stela simplifies the restoration process via a two-step protocol: first the primer (just 15 seconds), then the composite. The composite’s user-friendly consistency allowed sculpting before the material set, reducing procedural time and complexity.
The restoration was straightforward and efficient, taking less time than a traditional amalgam or multi-stage composite workflow. By using Stela, Dr Shankla reduced instrument use and the number of procedural steps making the treatment more cost- and time-effective. After placement, she allowed a few minutes for self-curing, then completed final trimming and polishing all without the need of a curing light.
The patient reported no postoperative sensitivity, and no complications emerged. Because the patient is considered higher risk for future dental issues, Dr Shankla scheduled a follow-up X-ray in one year to assess the restoration’s durability.


From the patient’s viewpoint, the streamlined two-step process and shorter chair-time contributed to a more pleasant treatment visit. For the clinician, the workflow gains were significant: replacing what would normally be a multi-stage, technique-sensitive procedure with a rapid, reliable alternative.
The case helped highlight how Stela can transform restorative practice and deliver efficient, high-quality, durable and aesthetic results with minimal complexity.
The entire SDI Stela composite range is available to buy from our online store, with free next working day delivery as standard.